Co należy wiedzieć przed wyborem implantu zęba?
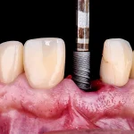
Implant zęba to sztuczny korzeń, który jest wprowadzany do kości szczęki w celu zastąpienia utraconego zęba. Składa się zazwyczaj z tytanu, materiału biokompatybilnego, który dobrze integruje się z kością. Proces wszczepienia implantu rozpoczyna się od dokładnej oceny stanu zdrowia pacjenta oraz analizy struktury kości. Lekarz stomatolog wykonuje zdjęcia rentgenowskie, aby ocenić, czy kość jest wystarczająco mocna i gęsta, by pomieścić implant. Po zakwalifikowaniu pacjenta do zabiegu następuje chirurgiczne wszczepienie implantu, które może wymagać znieczulenia miejscowego lub ogólnego. Po umieszczeniu implantu w kości następuje proces osteointegracji, podczas którego tkanka kostna zrasta się z implantem, co trwa zazwyczaj kilka miesięcy. Po zakończeniu tego etapu można przystąpić do nałożenia korony protetycznej na implant, co przywraca funkcję oraz estetykę uśmiechu pacjenta.
Jakie są zalety i wady implantów zębowych?
Decyzja o wyborze implantu zęba wiąże się z wieloma korzyściami oraz pewnymi ograniczeniami. Do głównych zalet należy trwałość oraz naturalny wygląd implantów. W przeciwieństwie do tradycyjnych protez, które mogą przesuwać się w jamie ustnej i powodować dyskomfort, implanty są stabilne i nie wymagają specjalnych zabiegów pielęgnacyjnych poza standardową higieną jamy ustnej. Dodatkowo, implanty pomagają w zachowaniu struktury kości szczęki, co jest istotne dla uniknięcia jej zaniku po utracie zęba. Jednakże istnieją także pewne wady związane z tym rozwiązaniem. Przede wszystkim koszt implantu jest znacznie wyższy niż tradycyjnych metod leczenia protetycznego. Ponadto nie każdy pacjent może być kandydatem do zabiegu; osoby z chorobami przyzębia czy cukrzycą mogą mieć trudności z gojeniem się po operacji. Istnieje również ryzyko powikłań, takich jak infekcje czy odrzucenie implantu przez organizm.
Jak przebiega proces wszczepienia implantu zęba?

Proces wszczepienia implantu zęba składa się z kilku kluczowych etapów, które są starannie zaplanowane przez lekarza stomatologa. Pierwszym krokiem jest konsultacja, podczas której lekarz przeprowadza szczegółowy wywiad medyczny oraz ocenia stan zdrowia pacjenta. Ważne jest wykonanie zdjęć rentgenowskich lub tomografii komputerowej, aby ocenić jakość kości oraz określić najlepszą lokalizację dla implantu. Następnie przystępuje się do zabiegu chirurgicznego polegającego na umieszczeniu implantu w kości szczęki. Po wszczepieniu następuje okres gojenia trwający od kilku tygodni do kilku miesięcy, podczas którego implant integruje się z kością. W tym czasie pacjent może otrzymać tymczasową koronę lub protezę, aby zachować estetykę uśmiechu. Po zakończeniu procesu osteointegracji następuje kolejny etap – nałożenie stałej korony protetycznej na implant.
Jakie czynniki wpływają na wybór implantu zęba?
Wybór odpowiedniego implantu zęba to decyzja uzależniona od wielu czynników, które powinny być dokładnie przeanalizowane przed podjęciem ostatecznej decyzji. Przede wszystkim istotna jest ocena stanu zdrowia pacjenta oraz jego indywidualne potrzeby stomatologiczne. Lekarz powinien uwzględnić takie elementy jak gęstość i jakość kości szczęki, obecność chorób przewlekłych czy ogólny stan zdrowia pacjenta. Kolejnym ważnym czynnikiem jest rodzaj implantu – dostępne są różne systemy implantologiczne oferujące różnorodne rozwiązania dostosowane do specyfiki przypadku klinicznego. Koszt również odgrywa kluczową rolę; warto porównać oferty różnych klinik stomatologicznych oraz dowiedzieć się o możliwościach finansowania zabiegu. Nie bez znaczenia jest także doświadczenie i kwalifikacje lekarza prowadzącego zabieg; dobrze jest wybierać specjalistów posiadających odpowiednie certyfikaty oraz pozytywne opinie innych pacjentów.
Jakie są koszty związane z implantami zębowymi?
Koszt implantów zębowych jest jednym z kluczowych aspektów, które pacjenci muszą rozważyć przed podjęciem decyzji o leczeniu. Ceny mogą się znacznie różnić w zależności od wielu czynników, takich jak lokalizacja kliniki, doświadczenie lekarza, rodzaj użytych materiałów oraz dodatkowe procedury, które mogą być konieczne przed wszczepieniem implantu. W Polsce ceny za jeden implant wahają się zazwyczaj od kilku do kilkunastu tysięcy złotych, co może być dużym wydatkiem dla wielu pacjentów. Warto również pamiętać, że koszt implantu to nie tylko cena samego wszczepienia; należy uwzględnić również koszty konsultacji, badań diagnostycznych, ewentualnych zabiegów przygotowawczych, takich jak augmentacja kości czy sinus lifting, a także koszt korony protetycznej, która zostanie umieszczona na implancie. Niektóre kliniki oferują pakiety, które mogą obejmować wszystkie te usługi w jednej cenie. Dla pacjentów, którzy obawiają się wysokich kosztów, istnieją różne opcje finansowania, takie jak raty czy kredyty medyczne.
Jakie są przeciwwskazania do wszczepienia implantu zęba?
Przed podjęciem decyzji o wszczepieniu implantu zęba istotne jest zrozumienie potencjalnych przeciwwskazań do tego zabiegu. Nie każdy pacjent jest odpowiednim kandydatem do leczenia implantologicznego. Przede wszystkim osoby z aktywnymi chorobami przyzębia powinny najpierw poddać się leczeniu tych schorzeń, ponieważ infekcje mogą prowadzić do niepowodzenia implantacji. Dodatkowo pacjenci cierpiący na choroby przewlekłe, takie jak cukrzyca czy osteoporoza, mogą mieć zwiększone ryzyko powikłań związanych z gojeniem się po zabiegu. Palenie tytoniu również negatywnie wpływa na proces gojenia i może zwiększać ryzyko odrzucenia implantu. Inne czynniki to niewłaściwa struktura kości szczęki; w przypadku jej niedoboru konieczne może być przeprowadzenie dodatkowych zabiegów augmentacyjnych. Osoby przyjmujące leki immunosupresyjne lub mające problemy z krzepliwością krwi powinny również skonsultować się ze specjalistą przed podjęciem decyzji o wszczepieniu implantu.
Jak dbać o implanty zębowe po ich wszczepieniu?
Prawidłowa pielęgnacja implantów zębowych jest kluczowa dla ich długowieczności oraz zdrowia jamy ustnej. Po wszczepieniu implantu pacjent powinien ściśle przestrzegać zaleceń lekarza dotyczących higieny jamy ustnej. Podstawowym krokiem jest regularne szczotkowanie zębów co najmniej dwa razy dziennie oraz używanie nici dentystycznej do oczyszczania przestrzeni międzyzębowych. Warto również rozważyć stosowanie płynów do płukania jamy ustnej zawierających antybakteryjne składniki, które pomogą w utrzymaniu zdrowia dziąseł wokół implantu. Pacjenci powinni unikać twardych pokarmów oraz nadmiernego obciążania implantu w pierwszych tygodniach po zabiegu, aby dać czas na prawidłowe gojenie się tkanek. Regularne wizyty kontrolne u stomatologa są niezbędne do monitorowania stanu implantu oraz otaczających go tkanek. Lekarz może zalecić dodatkowe zabiegi higieniczne lub profesjonalne czyszczenie, aby zapobiec gromadzeniu się płytki nazębnej i kamienia nazębnego.
Jakie są alternatywy dla implantów zębowych?
Choć implanty zębowe stanowią popularną metodę leczenia brakujących zębów, istnieją także inne opcje protetyczne, które mogą być odpowiednie dla różnych pacjentów w zależności od ich potrzeb i stanu zdrowia. Jedną z najczęściej stosowanych alternatyw są mosty protetyczne, które polegają na osadzeniu sztucznych zębów na naturalnych filarach – zdrowych zębach znajdujących się po obu stronach luki. Mosty są mniej inwazyjne niż implanty i mogą być wykonane w krótszym czasie; jednak wymagają szlifowania zdrowych zębów filarowych, co może osłabić ich strukturę. Inną opcją są protezy ruchome, które można łatwo wyjmować i zakładać; są one tańsze niż implanty i mosty, ale mogą być mniej komfortowe i stabilne podczas jedzenia czy mówienia. W przypadku osób starszych lub tych z ograniczoną ilością kości szczęki protezy mogą być jedynym dostępnym rozwiązaniem. Istnieją także nowoczesne technologie takie jak mini-implanty czy systemy ortodontyczne umożliwiające korekcję wad zgryzu bez konieczności stosowania tradycyjnych aparatów ortodontycznych.
Jakie są najnowsze osiągnięcia w dziedzinie implantologii?
Implantologia to dynamicznie rozwijająca się dziedzina stomatologii, która stale wprowadza innowacje mające na celu poprawę skuteczności oraz komfortu leczenia pacjentów. Jednym z najnowszych osiągnięć jest zastosowanie technologii CAD/CAM do projektowania i produkcji indywidualnych implantów oraz koron protetycznych. Dzięki temu możliwe jest uzyskanie idealnego dopasowania do anatomii pacjenta oraz szybsze wykonanie całego procesu leczenia. Kolejnym interesującym trendem jest wykorzystanie materiałów bioaktywnych oraz nanotechnologii w produkcji implantów; materiały te wspomagają proces osteointegracji i zmniejszają ryzyko powikłań pooperacyjnych. Również techniki chirurgiczne ulegają zmianom; coraz częściej stosuje się metody mało inwazyjne, takie jak wszczepienie mini-implantów czy techniki regeneracyjne wspomagające odbudowę kości przed wszczepieniem standardowego implantu. Warto również zwrócić uwagę na rozwój telemedycyny w stomatologii; dzięki niej pacjenci mogą korzystać z konsultacji online oraz monitorować postęp leczenia bez konieczności osobistej wizyty w gabinecie stomatologicznym.
Jak znaleźć dobrego specjalistę od implantów zębowych?
Wybór odpowiedniego specjalisty zajmującego się implantologią to kluczowy krok w procesie leczenia brakujących zębów. Istotne jest poszukiwanie lekarza posiadającego odpowiednie kwalifikacje oraz doświadczenie w tej dziedzinie. Dobrym sposobem na znalezienie specjalisty jest zapytanie znajomych lub rodzinę o rekomendacje; osobiste doświadczenia mogą być cennym źródłem informacji o jakości usług stomatologicznych. Warto również sprawdzić opinie pacjentów zamieszczone w internecie; wiele klinik posiada swoje strony internetowe lub profile na portalach społecznościowych, gdzie można znaleźć recenzje dotyczące pracy lekarzy oraz atmosfery panującej w gabinecie. Kolejnym krokiem powinno być umówienie się na konsultację; podczas wizyty warto zwrócić uwagę na podejście lekarza do pacjenta oraz jego umiejętność wyjaśnienia wszystkich aspektów związanych z planowanym leczeniem.




